關鍵字搜尋
家庭健康管家
家庭健康管家

首頁 »健康新知 »家庭健康管家 »丁甘交聯玻璃酸鈉注射液,半年僅需1針!有效改善關節疼痛及功能

丁甘交聯玻璃酸鈉注射液,半年僅需1針!有效改善關節疼痛及功能
膝關節炎是中老年人的常見疾病,研究結果顯示,中國45歲以上人群膝關節炎的患病率為8.1%,且患病率隨著年齡增高。

患者会受到關節疼痛、腫脹、關節活動受限、關節畸形等困擾,嚴重者甚至關節功能喪失,導致殘疾,嚴重影響患者日常生活。

當前,深圳新風和睦家醫院已引進膝關節治療藥物——丁甘交聯玻璃酸鈉注射液。

作為第三代玻璃酸鈉(即透明質酸鈉)注射液,它能更好模擬人體關節滑液的粘彈性,留存時間更長,且療程更短,可有效改善患者關節疼痛及功能。


 

玻璃酸鈉注射已包含在香港長者醫療券覆蓋范圍内,有需要的患者,可以到深圳新風和睦家骨科門診就診,在醫生指導下用藥治療。

那么,這款藥物有何不同,到底有哪些優勢?今天我們請到深圳新風和睦家醫院藥劑科胡玥月藥師,為大家詳細介紹——

膝關節炎,講究“階梯治療”
 
膝骨關節炎是老年人膝蓋疼痛的主要原因。膝關節炎是一個有非常明顯階段性發展的疾病,根據疾病輕重可以分為初期、早期、中期和晚期四個階段。

不同階段有對應的治療方案——
➊初期:膝關節偶爾疼痛,不影響日常活動,無關節腫脹、畸形等。
➋早期:膝關節經常疼痛,日常活動基本不影響,偶爾關節腫脹,無明顯畸形。
➌中期:膝關節嚴重疼痛,日常活動受影響,反復膝關節腫脹,可能出現明顯膝關節輕度內翻或者外翻畸形。
➍晚期:膝關節嚴重疼痛,日常活動嚴重受限,反復膝關節腫脹,可能出現嚴重的內翻、外翻畸形或屈曲攣縮畸形。

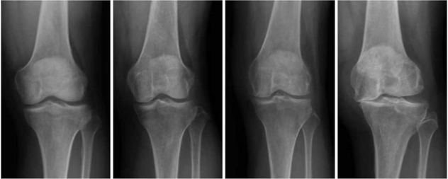
膝骨關節的X-ray分級(從左到右依次為1-4級)

現在對於膝關節炎的治療,都遵循“階梯治療”的理念,從初期到晚期,治療的難度和創傷都在遞增。大致的原則就是:優先“保膝”,實在不行再“換膝”。

對於輕中度膝骨關節炎患者,治療首選外用非甾體抗炎藥,必要時口服非甾體抗炎藥,同時可選用玻璃酸鈉注射。

丁甘交聯玻璃酸鈉

骨關節炎患者滑液的粘彈性遠低於正常人群,因而可以通過在膝關節內注射玻璃酸鈉,來恢復病變關節組織的生理學和流變學狀態。

作為最新一代(第三代)玻璃酸鈉注射液,丁甘交聯玻璃酸鈉具有以下特質,能夠有效幫助患者改善關節疼痛和功能——
➊粘彈性好:呈交聯三維網狀結構,粘彈性接近正常成人關節滑液,能夠有效潤滑、緩衝並保護關節。
➋留存時間長:注射後在關節腔中有較長的存留時間,有效時間長達6個月,故可以作為關節液的臨時性替代和補充品。
➌療程短:使用丁甘交聯玻璃酸鈉治療膝關節炎,僅需1針/療程,相比傳統5針注射療程更短,使保膝治療更安全、便捷及經濟。
與其他玻璃酸鈉注射液相比較

我適合使用丁甘交聯玻璃酸鈉嗎?哪些情况可以使用?

丁甘交聯玻璃酸鈉,適用於對非藥物保守治療及單純止痛藥物治療(如撲熱息痛Paracetamol等)疼痛緩解效果欠佳的膝骨關節炎成人患者。

對於由變形性骨關節炎導致的重度發炎的關節,若注射丁甘交聯玻璃酸鈉,可能加重局部炎症,故最好在消除現有炎症症狀後再使用。

注意!以下情況慎用或不用!
1:有肝臟或腎臟疾病的患者需謹慎使用丁甘交聯玻璃酸鈉。
2:因臨床資料不足,妊娠期,哺乳期以及兒童暫不推薦使用。
3:對丁甘交聯玻璃酸鈉成分過敏者,膝關節感染或關節腔重度炎症者,注射部位有皮膚疾病或感染者禁止使用。

正確使用方法:
丁甘交聯玻璃酸鈉應由接受過全面治療培訓的醫生給藥。
1次1支,將1支藥品注射至膝關節腔內。
可根據症狀調節注射間隔,但間隔至少在6個月以上。



 
使用注意事項:
在關節腔內注射後48小時期間,應避免進行劇烈運動,關節不可過度用力。